YSF056DR-A는 고급 기능과 최첨단 기술을 갖춘 전문 수의학용 동적 디지털 방사선 촬영 시스템으로, 동물 진단을 위한 고품질의 안전한 엑스선 이미지와 라이브 엑스선 비디오 형광 투시를 제공하도록 설계되었습니다.
YSF056DR은 X선 촬영실과 수술실을 자유롭게 오가며 디지털 X선과 실시간 X선 비디오 투시경 모드로 전환할 수 있어 수의사가 진단하기에 더욱 편리합니다.
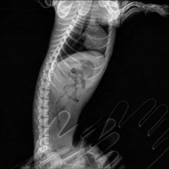
디지털 엑스레이를 넘어 라이브 엑스레이 비디오 형광 투시를 이용한 새로운 응용 분야가 많이 있습니다.
- 요로 문제 평가
- 연조직 또는 인대 손상에 대한 연구
- 작은 골절 찾기
- 기관 붕괴 진단
- 턱이나 두개골 골절 가능성 조사
- 탈장 진단
- 정형외과적 문제
- 삼키기/식도 검사
특징
* 15.6인치 터치스크린 LCD 디스플레이 탑재
*전자기 잠금 장치가 있는 4방향 플로팅 테이블* 중국산 또는 수입 튜브 옵션 제공
*사전 설정 매개변수 및 원버튼 작동
*최상의 노출량을 보장하기 위한 소프트웨어 제어
*OEM서비스 가능
동적 이미지






인기 탭: 수의학 동적 디지털 엑스레이 시스템, 중국 수의학 동적 디지털 엑스레이 시스템 제조업체, 공급업체, 공장











